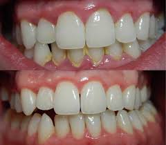
Hilangkan Karang Gigi : Kandungan ini bisa membantu menghilangkan plak dan mencegah kerusakan enamel gigi.

Hilangkan Karang Gigi : Kandungan ini bisa membantu menghilangkan plak dan mencegah kerusakan enamel gigi.. Dalam menghilangkan karang gigi, anda bisa juga memakai garam yang dicampurkan bersama dengan minyak mustard. Cara sederhana menghilangkan karang gigi secara tradisional, alami, dan cepat selanjutnya adalah dengan menggunakan kulit jeruk. Diketahui bahwa kombinasi keduanya tidaklah buruk dan justru sangat. Jeruk merupakan buah dengan banyak vitamin dan nutrisi. Plak yang masih tipis dapat dihilangkan dengan rutin menyikat gigi dan membersihkan gigi menggunakan benang (flossing).

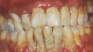
Salah satu masalah gigi adalah karang gigi, dan hal ini memang sangat bisa disebabkan oleh makanan. Menurut ahli, cara menghilangkan karang gigi yang sudah mengeras sejatinya hanya bisa dilakukan oleh dokter gigi. Karang gigi adalah kondisi di mana terdapat lapisan seperti kotoran yang terletak di gigi dan sulit dihilangkan meski telah dibersihkan atau disikat. Daun sirih dapat membersihkan karang gigi dan menghilangkan bau mulut yang tidak sedap. Karang gigi pun bisa dihilangkan dengan menggunakan cengkeh ini.

8 Cara Mudah Hilangkan Karang Gigi Tanpa Harus Pergi Ke Dokter Gigi Youtube Gigi Resep Kedokteran Gigi
8 Cara Mudah Hilangkan Karang Gigi Tanpa Harus Pergi Ke Dokter Gigi Youtube Gigi Resep Kedokteran Gigi from i.pinimg.com
Cara menghilangkan karang gigi berikutnya yait dengan daun sirih. Cara menghilangkan karang gigi lewat prosedur scaling biasanya dilakukan enam bulan sekali. Karang gigi gigi lebih buruk dari plak yuk cek 6 cara menghilangkan karang gigi yang efektif secara alami tanpa harus pergi ke dokter. Pasalnya, gigi memberikan kontribusi yang cukup besar dalam penampilan kita. Selain untuk menghilangkan karang gigi, bau mulut yang tidak sedap pun dapat berkurang. Bisakah membersihkan karang gigi dengan cara alami? Mengapa menghilangkan karang gigi penting? Melansir health line, cara terbaik untuk menghilangkan karang gigi atau kalkulus tidak lain adalah meminta bantuan dokter.

Gigi anjing yang memiliki karang gigi yang berkarang juga menjadi sarang bakteri sehingga mulut sebab itu harus diatasi dengan cara berikut, 12 cara menghilangkan karang gigi pada anjing.

Cara menghilangkan karang gigi dengan baking soda sering dilakukan banyak orang. Karang gigi yang telah mengeras tidak mudah dihilangkan jika hanya mengandalkan menyikat gigi saja. Jadi ampuh hilangkan karang gigi secara alami. Cara menghilangkan karang gigi selanjutnya juga dapat dilakukan dengan berkumur cara menghilangkan karang gigi satu ini cukup mudah dilakukan. Cara menghilangkan karang gigi yang paling efektif. Berikut cara menghilangkan karang gigi yang sederhana dan efektif. Selain untuk menghilangkan karang gigi, bau mulut yang tidak sedap pun dapat berkurang. Gigi anjing yang memiliki karang gigi yang berkarang juga menjadi sarang bakteri sehingga mulut sebab itu harus diatasi dengan cara berikut, 12 cara menghilangkan karang gigi pada anjing. Karang gigi adalah kondisi di mana terdapat lapisan seperti kotoran yang terletak di gigi dan sulit dihilangkan meski telah dibersihkan atau disikat. Cara menghilangkan karang gigi dengan daun sirih. Cara menghilangkan karang gigi dengan scaling. Melansir health line, cara terbaik untuk menghilangkan karang gigi atau kalkulus tidak lain adalah meminta bantuan dokter. Ketentuan baik untuk menyikat gigi, sebaiknya dilakukan 2 kali dalam sehari.

Karang gigi yang telah mengeras tidak mudah dihilangkan jika hanya mengandalkan menyikat gigi saja. Cara menghilangkan karang gigi dengan scaling. Ada berbagai cara menghilangkan karang gigi. Karang gigi adalah salah satu masalah pada gigi yang tak bisa anda entengkan begitu saja. Karang gini merupakan lapisan yang menempel pada gigi dan berada di bawah garis gusi.

Cara Menghilangkan Karang Gigi Alami Tanpa Perlu Ke Dokter
Cara Menghilangkan Karang Gigi Alami Tanpa Perlu Ke Dokter from blogpictures.99.co
Cara membersihkan karang gigi dan cara menghilangkan karang gigi dan plak secara alami. Ada berbagai cara menghilangkan karang gigi. Selain untuk menghilangkan karang gigi, bau mulut yang tidak sedap pun dapat berkurang. Melansir health line, cara terbaik untuk menghilangkan karang gigi atau kalkulus tidak lain adalah meminta bantuan dokter. Karang gigi gigi lebih buruk dari plak yuk cek 6 cara menghilangkan karang gigi yang efektif secara alami tanpa harus pergi ke dokter. Cara terbaik menghilangkan karang gigi masih tetap pembersihan karang gigi secara profesional oleh dokter gigi atau sering kita kenal dengan istilah scaling. Supaya karang gigi tidak terbentuk dan sampai menumpuk. Pasalnya, gigi memberikan kontribusi yang cukup besar dalam penampilan kita.

Cara terbaik menghilangkan karang gigi masih tetap pembersihan karang gigi secara profesional oleh dokter gigi atau sering kita kenal dengan istilah scaling.

Menurut ahli, cara menghilangkan karang gigi yang sudah mengeras sejatinya hanya bisa dilakukan oleh dokter gigi. Cara menghilangkan karang gigi selanjutnya juga dapat dilakukan dengan berkumur cara menghilangkan karang gigi satu ini cukup mudah dilakukan. Memang bukanlah bukanlah hal yang mudah. Ada berbagai cara menghilangkan karang gigi. Melansir health line, cara terbaik untuk menghilangkan karang gigi atau kalkulus tidak lain adalah meminta bantuan dokter. Cara menghilangkan karang gigi lewat prosedur scaling biasanya dilakukan enam bulan sekali. Selain untuk menghilangkan karang gigi, bau mulut yang tidak sedap pun dapat berkurang. Cara menghilangkan karang gigi berikutnya yait dengan daun sirih. Cara sederhana menghilangkan karang gigi secara tradisional, alami, dan cepat selanjutnya adalah dengan menggunakan kulit jeruk. Karang gigi gigi lebih buruk dari plak yuk cek 6 cara menghilangkan karang gigi yang efektif secara alami tanpa harus pergi ke dokter. Jeruk merupakan buah dengan banyak vitamin dan nutrisi. Menghilangkan karang gigi dengan mengonsumsi vitamin c. Cara menghilangkan karang gigi dengan scaling.

Menghilangkan karang gigi dengan mengonsumsi vitamin c. Pasalnya, gigi memberikan kontribusi yang cukup besar dalam penampilan kita. Menurut ahli, cara menghilangkan karang gigi yang sudah mengeras sejatinya hanya bisa dilakukan oleh dokter gigi. Karang gigi adalah salah satu masalah pada gigi yang tak bisa anda entengkan begitu saja. Cara menghilangkan karang gigi dengan scaling.

Ini Alasan Karang Gigi Harus Dihilangkan
Ini Alasan Karang Gigi Harus Dihilangkan from d1bpj0tv6vfxyp.cloudfront.net
Bisakah membersihkan karang gigi dengan cara alami? Karang gigi adalah gumpalan berwarna coklat kehitaman yang melekat pada gigi. Cara menghilangkan karang gigi dengan baking soda sering dilakukan banyak orang. Karang gigi pun bisa dihilangkan dengan menggunakan cengkeh ini. Plak gigi dan karang gigi bukan hal yang sama. Cara menghilangkan karang gigi yang paling efektif. Mengapa menghilangkan karang gigi penting? Cara menghilangkan karang gigi dengan daun sirih.

Mengapa menghilangkan karang gigi penting?

Karang gigi adalah salah satu masalah pada gigi yang tak bisa anda entengkan begitu saja. Cara menghilangkan karang gigi dengan scaling. Pasalnya, gigi memberikan kontribusi yang cukup besar dalam penampilan kita. Bisakah membersihkan karang gigi dengan cara alami? Nah bagaimanakah cara hilangkan karang gigi? Cara menghilangkan karang gigi selanjutnya cukup dengan mengunyah buah dan sayur secara rutin. Memang bukanlah bukanlah hal yang mudah. Cara menghilangkan karang gigi lewat prosedur scaling biasanya dilakukan enam bulan sekali. Karang gigi yang telah mengeras tidak mudah dihilangkan jika hanya mengandalkan menyikat gigi saja. Jeruk merupakan buah dengan banyak vitamin dan nutrisi. Cara membersihkan karang gigi dan cara menghilangkan karang gigi dan plak secara alami. Ketentuan baik untuk menyikat gigi, sebaiknya dilakukan 2 kali dalam sehari. Mengapa menghilangkan karang gigi penting?

Related : Hilangkan Karang Gigi : Kandungan ini bisa membantu menghilangkan plak dan mencegah kerusakan enamel gigi..